こんにちは
今回はラミネートベニアによる正中離開の閉鎖と変色部の審美治療を行った患者様の紹介になります
20代の女性の方
前歯の見た目が気になるとのことで来院されました。
診査してみると虫歯ではなく
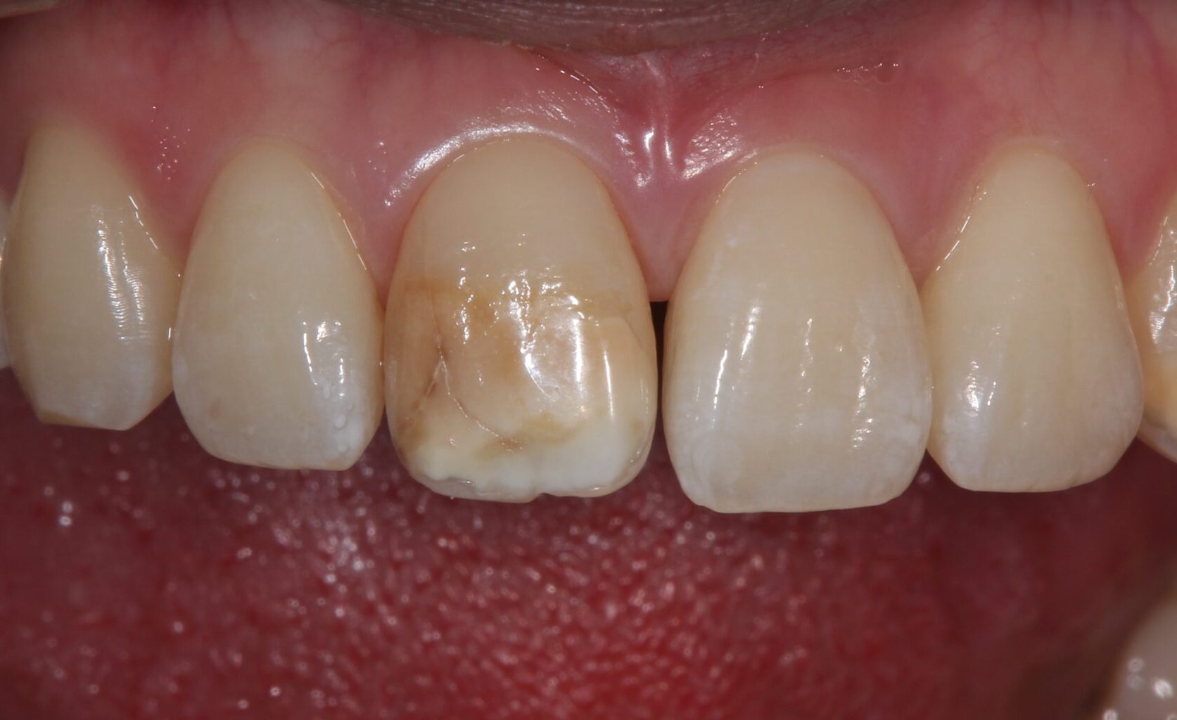
乳歯の頃の影響か、前歯が変色しており、正中部は隙間も空いていました(正中離開)。
これは普通のホワイトニングなどでは対処できないこと
また、保険のプラスチックの被せ物や
保険の被せ物と比べて審美的かつ削除量もかなり少ないセラミックによるラミネートベニア治療を説明させて頂き
患者様はできるだけ削る量を少なく、かつ審美的な結果を求めていたためそれを選択されました。
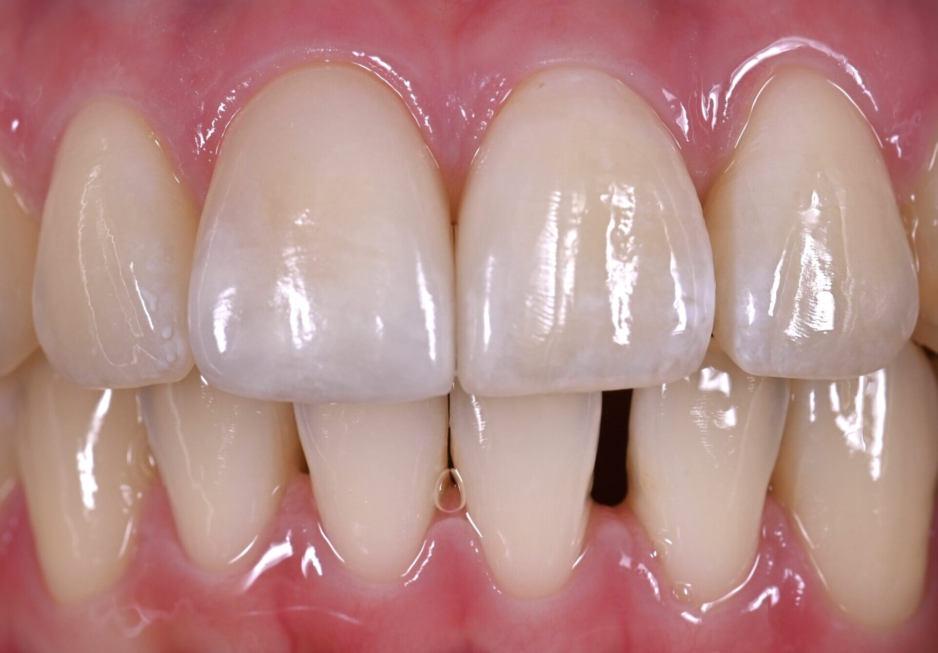
変色していない方の歯にも部分的なベニア(パーシャルベニア)を用いて
左右の歯の形、バランスを考慮しながら正中の隙間を閉鎖することを計画しました。
ラミネートベニアはマイクロスコープを用いて慎重に歯を削り
0.3-1mm程度(唇側)の削除量で作成しております。
患者様は満足されたとのことでした。

治療前

治療後

変色も目立ちにくくなり、正中の隙間も閉じています
| 担当医 |
古橋 広樹
|
|---|---|
| 治療期間、回数 |
3ヶ月程度
5回程度
|
| 治療内容 |
ラミネートベニア(左右)
|
| 費用 |
ラミネートベニア 27万円(税抜)(2本分)
仮歯代 16000円(2本分)
|