こんにちは
今回はインプラント治療の紹介です
初診時81歳
元々名古屋の医院に通っていたがコロナで行けなくなってしまい
最近右下の奥歯が咬むと違和感があるので診てほしいとのことでした。
レントゲンを撮り、歯周ポケットの検査などを行い
右下の一番奥、ブリッジの支えの歯が割れている(写真赤矢印部)のが
原因だと分かりました。
さすがに残せないので入れ歯にするか抜いて放置するかインプラントにするか
相談させて頂いたところ
入れ歯はかなり抵抗があるのでインプラントして欲しいとのことで
割れている歯とその手前の歯2本分のインプラント治療を行いました。
割れている歯に関しては
抜いてから骨の治りを待っていると
期間が長引いてしまい、外科処置が増えるため
割れている歯を抜くと同時に埋入する方法(抜歯即時埋入)を計画しました。
勿論手術時はサージカルガイドを製作、使用して
確実に神経、血管の走行をチェックし、
安全かつなるべく被せ物が長持ちするように
CT,パソコンでシミュレーションし、その通りに埋入できました。
手前のインプラントは埋入後3ヶ月程
抜歯即時埋入したインプラントは6ヶ月程待ち
仮歯にして問題なく機能するか、清掃性は大丈夫かなどを確認し
問題なかったので最終的なセラミックの上部構造をセットしました。
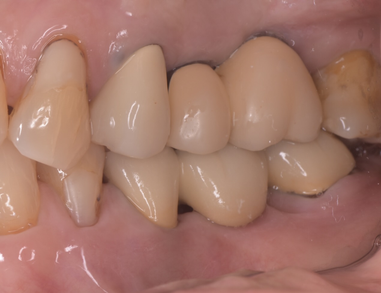
現在問題なく2年程経過し
入れ歯にせず快適に咬めて満足しているとのことです。
今後は周囲炎にならないようにできる限りメンテナンスをしていきます。

治療前

治療後

治療前

治療後

2年程経過し、2本とも周囲炎にもならず問題無く機能しています

2年程経過し、2本とも周囲炎にならず問題無く機能しています
| 担当医 |
古橋広樹
|
|---|---|
| 治療期間、回数 |
治療期間
欠損部(手前):埋入後3ヶ月程で仮歯セット
即時埋入部(奥):抜歯後6ヶ月程で仮歯セット
仮歯でチェック、経過観察2ヶ月程行い、上部構造(セラミック)セット
回数:抜歯から9回(術後のチェック、消毒等も含む)
|
| 治療内容 |
右下6番、7番インプラント治療
|
| 費用 |
合計92万円(税別)
|