こんにちは。古橋歯科です。
今回紹介させていただくのは
76歳の女性の方で
「前歯がぐらついてきたのが気になる」と言うことでした。
検査してみると前歯で骨吸収がかなり進んでる歯があり、
噛むたびにぐらぐら揺れている状態。
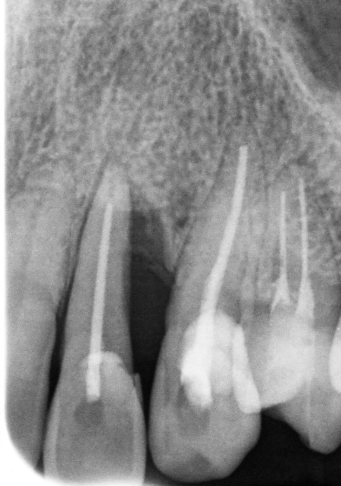
レントゲンを撮ると根の先の方まで歯周病で骨が溶けていました。(赤線部)

歯周ポケットは10mm、動揺度も2度で
いつ抜歯になってもおかしくないという状況。
とは言え一旦落ち着いてまずはしっかりブラッシング指導を行いました。
患者さんも何とか丁寧に磨いてもらえるようになり
衛生士による歯石除去、再評価を行った後
再生療法を行うか相談させて頂いたところ、
これで歯が残せるのならやってみたい!とのことでさせて頂きました。
そして術後半年ほどでレントゲン上で、完全では無いですが
歯周病で溶けてしまった骨が回復してきたのが確認できました。

ポケットは4mmと完全に無くなったわけではありませんが
動揺もすっかり落ち着いて
「抜かずにまた自分の歯でしっかり咬めるようになり
歯ブラシもちゃんとやった甲斐があって本当によかった」
と喜んでおりました。
現在3年ほど経ち、問題ないまま経過しております。
歯周病でお困りの方、抜歯と言われて悩んでいる方は是非御相談下さい。

治療前

治療後
| 担当医 |
古橋広樹
|
|---|---|
| 治療期間、回数 |
再生療法は1回
その後手術部の洗浄、チェック、糸取りなどで3週間ほどで3〜5回
治療期間はブラッシング指導、SRPから含めると4ヶ月ほど
(状況により変動します)
|
| 治療内容 |
ブラッシング指導
SRP
再生療法
|
| 費用 |
エムドゲインによる再生療法85000円(税抜)(術式、材料などによって変動あり)
他ブラッシング指導、SRPは保険内
|