こんにちは
今回紹介させて頂く方は40代女性の方です。
前歯の古い被せ物の見た目が気になる。
(歯茎が下がってきて根っこの濃い色が見える、被せ物の色もくすんできた)とのことでした。
レントゲン像を確認すると、根っこの先に膿が溜まっているような像も見えましたので
根管治療を行なった上で問題なさそうなら被せ物をやりかえる
あまりヒビが入っていたりするようなら
改めて抜歯の可能性についても相談させて頂くという流れになりました。
根管治療はマイクロスコープ下で行い、ある程度保存可能と判断したので
被せ物をどうされるか説明、相談の上
自然な見た目で虫歯になりにくいセラミックの被せ物を希望されました。
被せ物を削るのもマイクロスコープ下でできる限り丁寧に行い
装着時はラバーダム防湿を行い、確実に接着操作を行い、セットさせて頂きました。
患者様はとても満足しており、
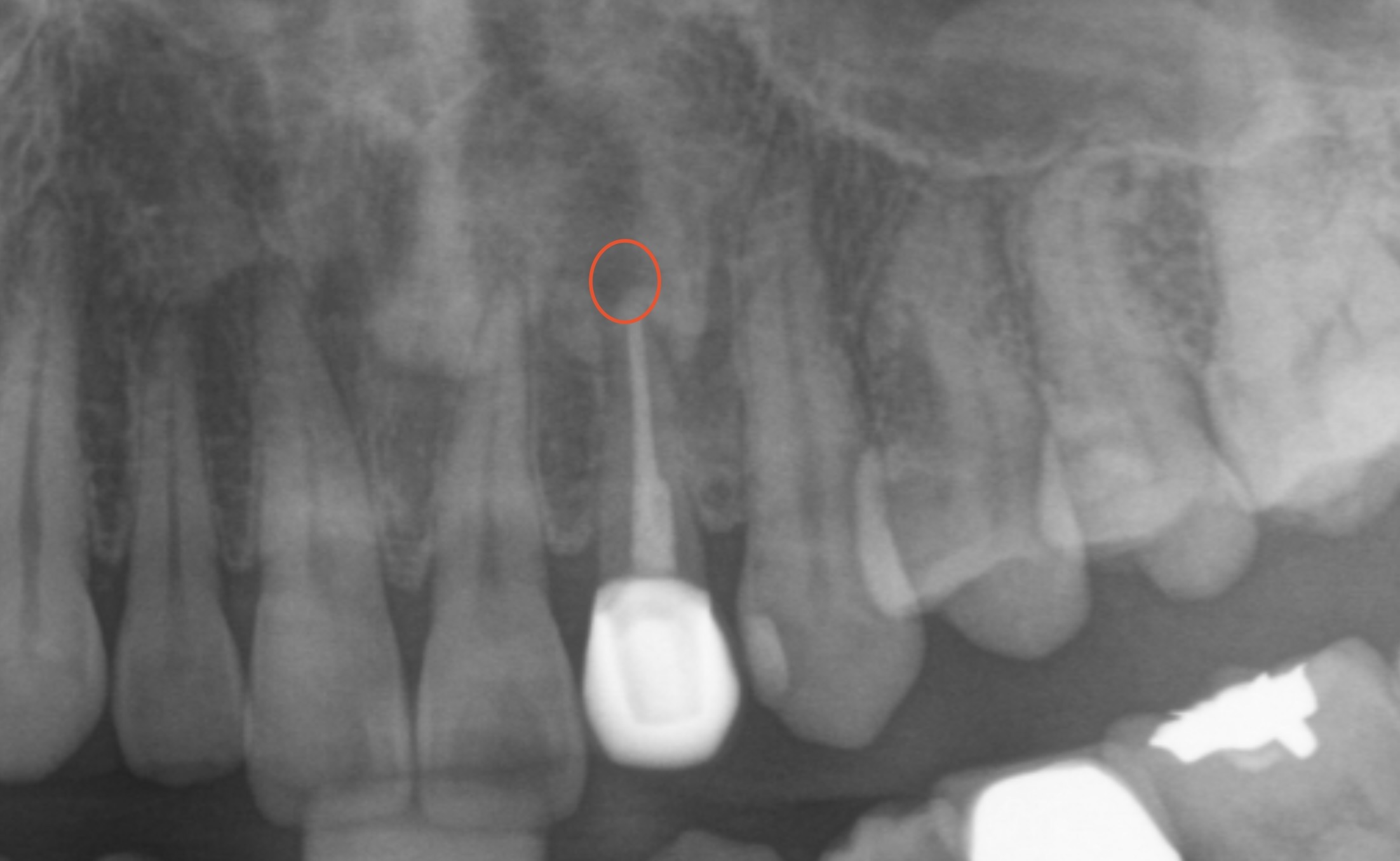
根っこの先の膿の像も8ヶ月ほど経って
半分以下に縮小、改善してきているのが確認できました(レントゲン像赤丸部)

治療前

治療後

治療前

治療後

ラバーダム下で接着操作を行っていきます

ラバーダム下でのセット

セット直後になります
| 担当医 |
古橋広樹
|
|---|---|
| 治療期間、回数 |
3ヶ月程度
5回
|
| 治療内容 |
根管治療(保険)
セラミッククラウン(ジルコニアセラミック)
|
| 費用 |
根管治療(保険内)
セラミッククラウン135000円(税抜)
|